การฟอกสีฟัน โดยความควบคุมดูแลของทันตแพทย์
(Dentist Monitoring or Dentist Prescribed)

1. การฟอกสีฟันที่คลินิก (In-office Bleaching)
ซึ่งทั้งหมดทันตแพทย์จะเป็นผู้จัดการให้ท่านในคลินิก
2. การฟอกสีฟันที่บ้าน (Home Bleaching)
หลังการตรวจสอบและวางแผน ทันตแพทย์จะพิมพ์ปากท่านเพื่อนำไปทำ ถาดฟอกสีฟัน (Bleaching Tray) และนัดท่านมาอีกครั้ง เพื่อรับถาดฟอกสีฟัน น้ำยาฟอกสีฟันในความเข้มข้นต่าง ๆ ตามแต่ทันตแพทย์วางแผนพร้อมกับคำแนะนำในการใช้งาน เพื่อนำไปปฏิบัติได้อย่างถูกต้องที่บ้าน
ท่านจะได้รับการตรวจสุขภาพในช่องปากอย่างละเอียดจากทันตแพทย์ของท่าน
ผู้จะทำการฟอกสีฟัน
- ควรมีสุขภาพในช่องปาก เหงือก และฟันที่ดี เช่นไม่มีฟันผุ เหงือกไม่อักเสบ ไม่มีเลือดออกตามไรฟัน ฯลฯ
- ถ้ามีปัญหา ควรให้ทันตแพทย์ของท่าน ทำการรักษาให้เรียบร้อยเสียก่อน
- ถ้ามีอาการเสียวฟันซี่ใดเป็นพิเศษ ไม่ว่าดื่มน้ำร้อน น้ำเย็น หรืออื่นๆ ควรแจ้งให้ทันตแพทย์ของท่านทราบ
เพื่อที่จะทำการป้องกันไว้ก่อน หรือวางแผนระหว่างการรักษาได้ถูกต้อง
ทันตแพทย์
- จะเป็นผู้ทำการตรวจสอบ และปรับปรุงสุขภาพในช่องปากพื้นฐาน เช่น ต้องถอนฟัน หรือ รักษารากฟันที่เสีย อุดฟัน
ขูดหินปูน ทายากันเสียว ฯลฯ ก่อนทำการฟอก - ทำการตรวจสอบและประเมินสีฟันเบื้องต้น ถึงสาเหตุ วางแผนการรักษา เลือกวัสดุเทคนิควิธีการที่เหมาะสม
และจำเพาะสำหรับท่าน - จะเป็นผู้ทำการฟอกสีฟันไม่ว่าจะด้วยวิธีใดแต่ท่าน จนกว่าจะได้ผลเป็นที่พอใจ
- ให้การป้องกัน รักษา หรือ แก้ไข ปัญหาต่างๆ ที่อาจจะเกิดขึ้น ระหว่างทำการฟอกสีฟัน
ทันตแพทย์ของท่าน จะให้ถาดฟอกสีฟัน น้ำยาฟอกสีฟัน และอื่นๆ เช่น ยากันเสียวฟัน ยาสีฟัน กล่องใส่ถาดฟอกสีฟัน ฯลฯ
และ คำแนะนำพื้นฐานสำหรับนำไปปฏิบัติดังนี้
การใส่ถาดฟอกสีฟัน
- ถาดฟอกสีฟันนั้นควรเก็บใส่กล่องที่จัดมาให้ ส่วนน้ำยาฟอกควรเก็บไว้ในตู้เย็น [ไม่ใช่ช่องแช่แข็ง] ความร้อนจะทำ
ให้น้ำยาเสียคุณสมบัติอย่างรวดเร็ว - เรามักจะทำการฟอกสีฟัน ในระหว่างตอนนอน [Bed Time] ซึ่งน้ำยาที่ทันตแพทย์ให้ท่านนั้นสามารถออกฤทธิ์ได
้ นานถึง 8-10 ชม.ถ้าอยากฟอกในตอนกลางวัน [Day Time] ควรฟอกนานแค่ 4-5 ชม. - ก่อนทำการฟอกทุกครั้ง ควรแปรงฟัน ทำความสะอาดก่อน
- บีบน้ำยาใส่ถาดฟอกบริเวณที่เป็นส่วนด้านหน้าของตัวฟัน โดยสำหรับคนไทยใช้ประมาณสัก 3 หัวไม้ขีดไฟต่อซี่ก็พอเก็บ
หลอดน้ำยาที่เหลือไว้ในตู้เย็น - ใช้ผ้าก็อซ สำลี หรือผ้าขนหนูชุบน้ำหมาดๆ เช็ดที่ตัวฟันให้ชื้น ก่อนใส่ถาดฟอกเพราะถ้าฟันที่แห้งเกินไป
น้ำยาฟอกจะไปดูดน้ำที่ตัวฟัน เพื่อช่วยในการแตกตัว จะทำให้เสียวฟันได้ง่าย หรือ ถ้าฟันเปียกน้ำลายมากเกินไป
เอ็นไซม์ในน้ำลายจะไปทำลายของน้ำยา - ถาดฟอกสีฟันนั้น ทันตแพทย์จะทำมาจำเพาะสำหรับช่องปากของท่าน จะมีความแนบสนิทสูง โดยใช้พลาสติกที่บาง
นุ่ม ไม่ละคายเคือง น้ำยาที่ทันตแพทย์ให้ท่าน จะเป็นเจลที่ข้นเหนียวมาก เมื่อท่านใส่ถาดฟอกในปาก จะให้ความแนบ
สนิทมาก น้ำยาไม่ไหลเลอะลงคอ ท่านจะรู้สึกสบาย ไม่อึดอัดรำคาญ ไม่ต้องไปวิตกกังวล - ถ้ามีส่วนเกิน ให้เอาผ้าก็อซชุปน้ำเช็ดออก หรือ ใช้แปรงสีฟันแปรงออก
- ควรทำการฟอกก่อนนอน ไม่ควรมีการพูดคุยกันอีกหลังใส่ถาดน้ำยา นอนพักผ่อนได้ตลอดคืน โดยน้ำยาจะค่อยๆแตกตัว
อย่างช้าๆ และ ทำการฟอกสีฟันท่านตลอดทั้งคืน
การถอดถาดฟอกสีฟัน
- ควรถอดออกหลังจากตื่นนอนทันที
- นำถาดไปล้างน้ำให้สะอาด เอาน้ำยาที่เหลือค้างออกให้หมด สลัดเอาน้ำออก แล้วเก็บใส่กล่อง แปรงฟันตามปกติ จะเป็นการเอาน้ำยา ฟอกที่ติดตัวฟันออกไปด้วย
- หลังทำการฟอกท่านอาจเข็ด หรือเสียวฟันนิดหน่อย โดยเฉพาะตอนแปรงฟัน ซึ่งถือเป็นอาการปกติ อาการนี้จะค่อย ๆ หายไป ท่านไม่ต้องเป็นกังวล
- บางท่านถ้าอาจมีอาการเข็ดหรือเสียวฟันมาก ทันตแพทย์อาจให้ท่านใช้ ถาดฟอกสีฟันเดิมใส่น้ำยากันเสียว ซึ่งเป็นเจล ที่เข้มข้นเหนียวเหมือนกัน ใส่ต่อไปอีกสัก1/2-1 ชม. หรือทันตแพทย์อาจใช้วิธีอื่นๆแก้ให้กับท่าน

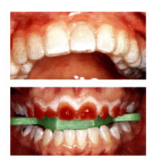
เมื่อทันตแพทย์พิมพ์ปากท่านแล้ว จะนำไปทำถาดฟอกสีฟัน โดยจะทำที่สำหรับเป็นที่อยู่ของน้ำยาฟอกสีในที่จะทำการฟอก (แนววัสดุสีน้ำเงิน) ถาดฟอกสีฟันนี้ จะจำเพาะในแต่ละคน ทำด้วยพลาสติกที่บางหรือนิ่ม สะดวกสบายเมื่อใส่

บีบน้ำยาฟอกสีเฉพาะด้านหน้าฟันตรงบริเวณที่ทำที่ไว้ให้ สำหรับ คนไทยเอาสักแค่ 3 หัวไม้ขีดไฟก็พอ ทำฟันให้เปียกด้วยน้ำหมาด ๆ แล้วค่อยใส่ถาดฟอกสีฟัน ปรับให้แนบสนิท

เช็ดน้ำยาส่วนเกินที่ล้นถูกเหงือกออก แล้วนอนได้เลย
ข้อควรรู้ และ คำแนะนำระหว่างการฟอกสีฟันที่บ้าน
- อาการเข็ดฟันหรือเสียวฟันหลังฟอกนั้น เป็นเรื่องปกติชั่วคราว จะค่อยๆ หายไปอย่างรวดเร็ว
- ถ้าท่านมีอาการนี้มาก หรือปัญหาอื่นๆที่มากไปกว่านี้ ไม่ต้องไปวิตกกังวล กรุณาติดต่อถึงทันตแพทย์ของท่านโดยด่วน เพราะเป็นผู้แก้ปัญหาให้ท่านได้ เช่น มีน้ำยาเสียวฟันในหลายขนาด หลายรูปแบบ และหลายวิธีการ หรือ มีแนวทาง ที่จะจัดการ ช่วยแก้ปัญหาอื่นๆ ให้กับท่านได้อย่างง่าย ๆ
- ระหว่างทำการฟอก ควรงดทานอาหารที่มีรสจัด รสเปรี้ยว อาหารที่มีสี สูบบุหรี่ ดื่มกาแฟ ฯลฯ
- ความเป็นจริง คือ น้ำยาฟอกสีฟันที่ทันตแพทย์ใช้กับท่าน มีฤทธิ์เสริมอีกอย่าง คือ เป็นยาฆ่าเชื้อในช่องปาก (Oral Anticeptive) ดังนั้นเป็นไปไม่ได้เลย ที่เมื่อทำการฟอกแล้ว จะมีแผลพุพองในช่องปาก จริงแล้วกลับเป็นตัวทำ ให้แผลในช่องปากที่ท่านอาจมี หายเร็วขึ้น
- น้ำยาที่ใช้ก็ไม่เป็นพิษต่อร่างกาย ไม่เคยมีรายงานว่า มีคนไข้แพ้น้ำยาฟอกสีฟันไม่เป็นตัวให้ก่อเกิดมะเร็ง ฯลฯ น้ำยาฟอกที่ใช้ เมื่อกลืนเข้าไป ก็ไม่มีอันตราย เพราะในขั้นสุดท้ายจะแตกตัวเป็นน้ำ กับ ยูเรีย (Urel-สารที่มีในปัสสาวะของมนุษย์)
- ไม่ควรทำการฟอกสีฟัน เมื่อท่านอยู่ระหว่างการรักษาร่างกายในเรื่องอื่นๆ ระหว่างตั้งครรภ์ หรือ ให้นมลูก แม้ว่ามันจะไม่ มีผลเสียอะไร
- การฟอกสีฟันนั้น ได้ผลเฉพาะเนื้อฟันจริง ไม่รวมถึงวัสดุอุดสีเหมือนฟันหรือฟันปลอม
- การฟอกสีฟันในความควบคุมดูแลโดยทันตแพทย์ นั้นให้ผลสำเร็จสูงมาก มีการวิจัยพบว่า อัตราผลความสำเร็จของ การรักษานั้น มากถึง 98% ไม่ว่าสีฟันจะเข้มข้นมากน้อยเพียงใด ทันตแพทย์จะทำสำเร็จเสมอ ถ้าท่านให้ความร่วมมือ ที่ดีต่างเพียงอาจใช้เวลาแตกต่างกัน และเมื่อฟอกแล้วก็ให้ผลค่อนข้างถาวร อาจเข้มข้นบ้าง แต่ก็ไม่เคยพบว่าสีฟันเข้ม กลับคืนเป็นสีตั้งต้น มี 2% เท่านั้น ที่อาจทำการรักษาไม่ได้ผล
- หลังการฟอกสีอาจกลับเข้มข้นขึ้นมาใหม่ อีก จะมากหรือน้อย ซึ่งถือเป็นเรื่องปกติจากอาหารการกิน สูบบุหรี่ ดื่มกาแฟ หรือ อายุที่เพิ่มมากขึ้น ฯลฯ ท่านสามารถฟอกเพิ่มเติม ให้สีฟันขาวยิ่งขึ้นไปอีกได้ หรือฟอกสีที่กลับเข้มมากขึ้นให้ ขาวดังเดิมได้ในภายหลัง และอย่างง่าย ๆ ใช้เวลาอันสั้น
